 |
| (a) |
 |
| (b) |
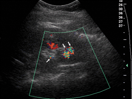
Twinkle artifact owing to renal calculi. (a) Longitudinal gray-scale US image shows a faintly echogenic region in the lower pole sinus but no definite renal stones. (b) Color Doppler US image depicts three calculi with twinkle artifact (arrows).
No comments:
Post a Comment